Καλέστε μας
Active Motion

Τενοντίτιδα

Χωρίς λόγια...

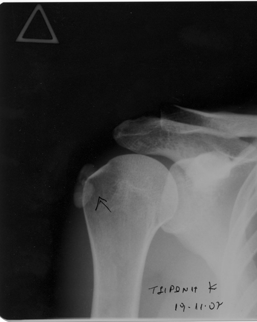
Αποκατάσταση τενοντίτιδας υπερακανθίου μυός.

Πριν

Απεικόνιση τενοντίτιδας υπερακανθίου πριν τη θεραπεία:

Απεικόνιση τενοντίτιδας υπερακανθίου πριν τη θεραπεία

 

Μετά

Απεικόνιση τενοντίτιδας υπερακανθίου μετά τη θεραπεία:

Απεικόνιση τενοντίτιδας υπερακανθίου μετά τη θεραπεία